Không ít người tin rằng lấy cao răng càng nhiều càng tốt, nhưng thực tế, nếu lạm dụng hoặc thực hiện không đúng kỹ thuật, việc này có thể gây ra nhiều tác hại nghiêm trọng làm tổn hại đến răng, nướu và sức khỏe răng miệng tổng thể.
Tác hại của việc lấy cao răng sai cách
Cao răng được hiểu là những mảng bám thức ăn dư thừa ở răng lâu ngày. Chúng đã bị vôi hóa do vi khuẩn, nước bọt gây ra. Để chăm sóc tốt cho răng miệng, bạn cần thực hiện lấy cao răng định kỳ từ 3 - 6 tháng một lần.
Về cơ bản, việc lấy cao răng được tiến hành và thực hiện khá đơn giản, không gây ảnh hưởng tới men răng hoặc các vùng khác trong khoang miệng. Tuy nhiên, nếu việc thực hiện lấy cao răng không đúng cách thì có thể gây ra tổn thương răng và nướu, đồng thời ảnh hưởng đến tâm lý của người bệnh.
Tổn thương cấu trúc răng
Việc dùng dụng cụ cạo cao răng trực tiếp trên bề mặt răng sẽ khiến men răng bị tác động. Men răng của bạn có thể bị tổn thương ngay tại thời điểm lấy cao răng hoặc cũng có thể bị bào mòn dần dần. Men răng bị mòn không chỉ khiến việc nhai thức ăn gặp khó khăn, mà còn dễ làm răng bị ê buốt.
Nhiễm trùng mô mềm
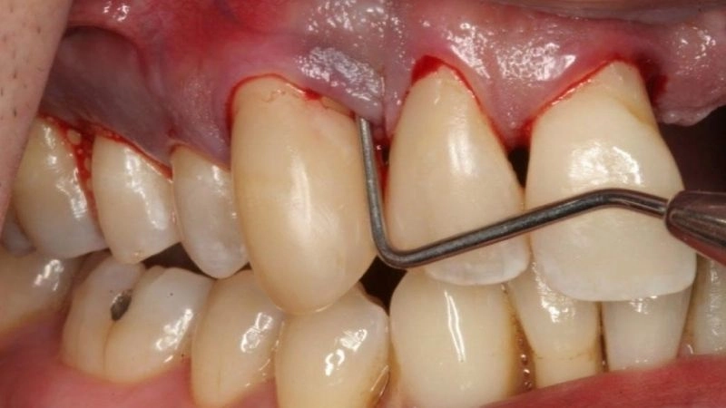
Nhiều trường hợp cao răng tích tụ nhiều và lan xuống ở phần dưới nướu. Bởi vậy, việc lấy cao răng ở phần này sẽ gây chảy máu. Tình trạng chảy máu là hoàn toàn bình thường và không có gì đáng lo lắng khi được xử lý đúng cách. Tuy nhiên, nếu vùng chảy máu ở nướu không được xử lý kịp thời thì sẽ gây ra viêm nhiễm, lan rộng vào sâu vào vùng nha chu, gây những biến chứng nguy hiểm, thậm chí là rụng răng.
Bệnh truyền nhiễm
Tình trạng lây nhiễm chéo trong nha khoa vẫn có thể xảy ra dù ở mức độ thấp. Tình trạng này không chỉ khiến cho việc lấy cao răng không đúng cách, mà những dịch vụ khác cũng gia tăng nguy cơ gây ra những bệnh truyền nhiễm khi dụng cụ, máy móc thiết bị y tế không được vô trùng và đảm bảo vệ sinh.
>>> Tham khảo thêm: Ho nhiều quá có bị sao không và khi nào cần đi khám
Làm gì để tránh tác hại của việc lấy cao răng?
Trước khi lấy cao răng, người bệnh cần được thăm khám và kiểm tra về tình trạng sức khỏe răng miệng. Việc thăm khám này giúp bác sĩ biết rõ tình trạng cao răng, vấn đề sức khỏe răng miệng trước khi thực hiện thủ thuật.
Việc lấy cao răng là thủ thuật nhanh chóng và không quá khó, tuy nhiên các bạn cũng không nên chủ quan. Bạn cần chú ý lựa chọn địa chỉ nha khoa có đội ngũ bác sĩ giỏi có tay nghề cao, giúp thực hiện việc lấy cao răng đảm bảo an toàn.
Chăm sóc răng miệng sau khi lấy cao răng
Sau khi cạo vôi răng, hàm răng của chúng ta cần được chăm sóc đúng cách, bởi sau khi lấy cao răng, hàm răng khá nhạy cảm.
- Vệ sinh răng miệng 2 - 3 lần bằng bàn chải lông mềm để tránh vi khuẩn tích tụ mảng bám trên răng.
- Thực hiện chải răng nhẹ tay, tránh dùng lực mạnh vì lúc này chân răng và nướu còn yếu, dễ bị tổn thương.
- Chú ý chế độ dinh dưỡng sau khi lấy cao răng, tránh các thức cay nóng, đồ ăn quá lạnh, các thức ăn dai, cứng để tránh tổn thương cho răng.
- Sử dụng nước súc miệng hoặc nước muối sinh lý để giúp vệ sinh khoang miệng một cách hiệu quả, hạn chế sự phát triển mảng bám, vi khuẩn trên răng.
- Khám nha khoa định kỳ 6 tháng/lần, kết hợp lấy cao răng thường xuyên để phòng ngừa các bệnh về răng miệng.
Tác hại của việc lấy cao răng sai cách ảnh hưởng lâu dài
>>> Tham khảo thêm:
Bị HP có sao không và có dễ lây sang người thân không
Ong vò vẽ chích có bị sao không - Cách xử lý hiệu quả
Việc lấy cao răng cần được thực hiện đúng cách và có chỉ định của bác sĩ nha khoa. Đừng để những tác hại từ việc làm sai cách ảnh hưởng đến sức khỏe răng miệng và gây ra những hậu quả đáng tiếc cho bản thân.

