Sâu răng không chỉ gây đau nhức khó chịu mà còn ảnh hưởng đến sinh hoạt hằng ngày. Nhiều người tìm đến mẹo dân gian như một giải pháp thay thế cho thuốc tây. Liệu có hiệu quả thật không?
Các nguyên nhân gây đau răng
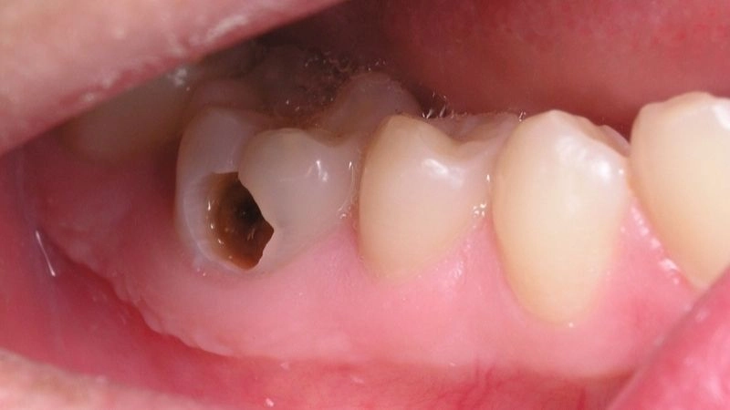
- Sâu răng
- Áp xe răng (nhiễm khuẩn)
- Bệnh nha chu
- Răng mọc khỏi nướu
- Mọc răng khôn
- Gãy răng
- Các nguyên nhân khác
Trong đó, sâu răng là nguyên nhân phổ biến nhất. Thông thường, sâu răng xảy ra khi các axit từ các mảng bám thức ăn thừa tiết ra gây phá hủy men răng, các vi khuẩn tấn công vào cấu trúc răng tạo thành các ổ sâu, gây cảm giác đau nhức. Lúc này răng thường xuất hiện những lỗ nhỏ, răng có màu ố vàng hoặc nâu đen. Cơn đau thường gia tăng khi ăn đồ ngọt, đồ quá nóng hoặc quá lạnh hay do thức ăn bị mắc vào lỗ sâu.
Tổng hợp mẹo trị đau răng theo dân gian
Nước muối
Nước muối được coi như là mẹo chữa đau răng sâu hiệu quả, nó có các tác dụng tốt như:
- Làm giảm sưng, viêm
- Tăng cường khả năng chữa lành vết thương
- Giảm đau họng
Khi nước muối tràn qua các kẽ răng và nướu sẽ giúp làm giảm bớt sự ê buốt, đau nhức của răng và loại bỏ những mảnh vụn thức ăn sót lại ở trong khoang miệng cũng như các kẽ răng.
Chỉ cần pha 2-3 muỗng cà phê muối với nước ấm hoặc dùng nước muối sinh có sẵn và ngậm trong miệng khoảng 15 phút. Dùng nước muối súc miệng sẽ rất hữu ích trong điều trị đau răng sâu. Nước muối có khả năng hạn chế những cơn đau răng tiến triển đau nhức hơn bằng cách làm giảm sưng đồng thời tăng cường khả năng chữa lành cho cơ thể.
Lá bạc hà
Đa số mọi người thường biết đến công dụng của lá bạc hà trong điều trị hôi miệng nhờ tính kháng khuẩn. Tuy nhiên, với đặc tính gây tê và sát trùng nhẹ tại chỗ, lá bạc hà còn được coi như một mẹo trị nhức răng hiệu quả.
Để có thể làm trà bạc hà thì bạn chỉ cần ngâm là bạc hà khô với nước sôi trong 20 phút, sau đó để nguội. Nước trà bạc hà có thể dùng làm nước súc miệng hoặc uống. Hoặc, bạn có thể dùng túi trà bạc hà còn ấm áp trên chiếc răng đau trong vài phút để xoa dịu cơn đau. Ngoài ra, uống trà bạc hà vào ban đêm sẽ khiến bạn giảm stress và dễ ngủ.
>>> Đọc ngay: Tổng hợp mẹo dân gian chữa sốt rét đơn giản tại nhà
Đinh hương
Tương tự với bạc hà, hoạt chất Eugenol chiếm tới trên 80% trong đinh hương với tác dụng gây tê tự nhiên, kháng khuẩn và chống viêm hiệu quả, do đó hỗ trợ đáng kể trong việc chống vi khuẩn gây nhiễm trùng răng và nướu.
Mẹo trị nhức răng là chúng ta nên dùng bông gòn thấm tinh dầu đinh hương rồi đặt lên vùng đau răng. Mặt khác, người bị đau răng sâu còn có thể thử biện pháp là nhai đinh hương khô và giữ tại khu vực đau răng khoảng 30 phút thay vì dùng tinh dầu được chiết sẵn. Việc nghiền nát đinh hương là cách để “tiết ra” phần tinh dầu chứa Eugenol bên trong nó.
Trà xanh
Trà xanh là một nguyên liệu cực kì dễ kiếm và phổ biến. Ngoài tác tác dụng giảm sưng đau, tốt cho nướu mà trà xanh còn được sử dụng để chữa sâu răng tại nhà mang lại hiệu quả nhanh chóng.
Cách dùng vô cùng đơn giản, bạn có thể vò một nắm lá trà xanh và cho vào hãm với nước sôi hoặc uống nước lá trà xanh mỗi ngày hoặc ngậm khoảng 3 – 5 phút cũng sẽ thấy hiệu quả giảm đau tức thì.
Dùng đá lạnh chườm vào chỗ đau răng
Việc dùng đá lạnh chườm trực tiếp vào chỗ đau chính là cách sử dụng nhiệt độ thấp làm hạn chế lưu lượng máu tới khu vực đau. Khi đó, cơn đau sẽ giảm thiểu một phần, tình trạng sưng và viêm cũng sẽ đỡ hơn.
>>> Đọc ngay: Trị rôm sảy không cần thuốc nhờ mẹo dân gian cổ truyền
Rượu
Rượu có đặc tính kháng khuẩn có thể tiêu diệt vi khuẩn gây sâu răng và bệnh nướu răng. Những lúc đau răng bạn có thể ngậm rượu để giảm đau nhức, sưng, viêm nhiễm cũng như loại bỏ được mùi hôi khó chịu trong miệng.
Không chỉ uống rượu trắng mới có tác dụng nhiều người đã dùng rượu hạt cau, hoặc rượu hạt gấc để giảm đau. Do đó, thay vì ngậm dung dịch nước muối, bạn có thể ngậm rượu để làm thuyên giảm những cơn đau răng đồng thời kháng viêm hiệu quả.
Gừng và tỏi
Những gia vị đơn giản có sẵn trong gian bếp nhà như gừng và tỏi đều có tính kháng viêm và sát trùng cao có thể sánh ngang thuốc kháng sinh có khả năng kháng khuẩn mạnh. Ngoài ra, hoạt chất trong gừng tỏi còn giúp giảm đau và ức chế vi khuẩn sâu răng phát triển. Nguyên liệu dân gian này được coi như là bài thuốc trị sâu răng và đau răng sâu hiệu quả.
Cách thực hiện:
Cần giã nát tỏi và gừng, với thêm 1 vài hạt muối và đắp vào vùng răng bị sâu gây đau nhức, cơn đau của bạn sẽ dịu lại và cảm giác dễ chịu hơn rất nhiều. Tuy nhiên, bạn nên nhớ pha loãng tỏi vì có thể bị kích ứng hoặc phỏng nướu.
Hoặc bạn có thể dùng máy xay hỗn hợp 2-3 tép tỏi với vài lát gừng với 150ml nước lúc rồi lọc lấy nước cốt và ngậm trong vòng 15 phút.
Đừng để cơn đau răng làm đảo lộn sinh hoạt thường ngày. Những mẹo dân gian đã được ông bà ta kiểm chứng sẽ là vũ khí đắc lực giúp bạn cải thiện tình trạng sâu răng ngay tại nhà, vừa hiệu quả vừa lành tính.

